
도널드 트럼프 행정부가 조 바이든 전 대통령 시절 들어온 난민 전원을 재심사하는 방안을 추진 중이라고 로이터통신과 CNN 방송 등이 정부 내부 문건과 소식통을 인용해 24일 보도…
[2025-11-24]
도널드 트럼프 대통령은 24일 연방정부 차원에서 인공지능(AI) 개발 및 활용을 가속화하는 ‘제네시스 미션’(GENESIS MISSION) 시작을 지시하는 행정명령에 서명했다.백…
[2025-11-24]
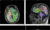
몸에 근육량이 많고 복부지방이 적을수록 뇌 노화 속도가 느려진다는 연구 결과가 나왔다. 그러나 피하지방은 뇌 노화 속도와 관련이 없는 것으로 나타났다.워싱턴대 의대 사이러스 라지…
[2025-11-24]
올해 추수감사절 연휴 기간인 11월 20일부터 12월 1일까지 로스앤젤레스 국제공항, LAX를 이용하는 여행객이 약 250만 명에 달할 것으로 예상되면서 역대급 혼잡이 우려되고 …
[2025-11-24]플로리다 올랜도 디즈니월드 리조트에서 한 달도 안 되는 기간 동안 투숙객 5명이 잇달아 숨지는 사고가 발생했다.24일 뉴욕포스트 등 외신에 따르면, 오렌지카운티 검시국은 지난 8…
[2025-11-24]
도널드 트럼프 대통령과 시진핑 중국 국가주석의 부산 회담을 계기로 미국산 대두의 중국 수출이 재개 수순에 들어갔다.24일 로이터 통신이 입수한 선박 운항 일정에 따르면 화물선 두…
[2025-11-24]
도널드 트럼프 대통령이 중동의 이슬람주의 정파 무슬림형제단의 최소 3개 지부를 미국 정부의 제재를 받는 테러단체로 지정하는 절차에 착수하라고 행정부에 지시했다.백악관에 따르면 트…
[2025-11-24]캐롤라인 레빗 백악관 대변인[로이터]백악관은 24일 우크라이나 전쟁 종식을 위한 평화구상과 관련, 미국과 우크라이나 간 이견이 많지 않다면서 합의 도출 가능성이 크다고 밝혔다.캐…
[2025-11-24]
미국 정부가 엔비디아의 고성능 그래픽처리장치(GPU)의 대(對) 중국 수출 허용 여부를 검토한다는 내용이 보도된 가운데 하워드 러트닉 상무장관이 결정권자는 도널드 트럼프 대통령이…
[2025-11-24]
연방 법무부가 24일 미성년자 성착취범 고(故) 제프리 엡스타인 관련 자료를 공개하게 해달라고 법원에 요청했다.연방 의회가 엡스타인 관련 자료를 공개하도록 한 법안을 가결하고 도…
[2025-11-24]코미 전 FBI 국장과 제임스 뉴욕주 법무장관[로이터]정적들에 보복을 가하려고 연방 검찰에 충성파를 심어온 도널드 트럼프 대통령의 행보에 법원이 제동을 걸었다.법원이 제임스 코미…
[2025-11-24]
미국 국방부(전쟁부)가 군인 및 정보기관 요원들을 향해 ‘불법적 명령’을 거부하라고 촉구한 마크 켈리 연방 상원의원(민주·애리조나)에 대한 조사에 착수했다.국방부는 24일 엑스(…
[2025-11-24]
기체 결함으로 우주비행사들의 9개월 우주 체류 사태를 빚은 보잉의 ‘스타라이너’ 우주선의 미항공우주국(NASA) 임무 횟수가 축소됐다.NASA는 보잉과 상호 합의를 통해 스타라이…
[2025-11-24]
배우 이순재 [아이엠티브이 제공. 재판매 및 DB 금지] 현역 ‘최고령 배우’로 활동해온 배우 이순재가 별세했다. 향년 91세.유족에 따르면 이순재는 25일(한국시간) 새벽 세상…
[2025-11-24]베네수엘라에 거주·체류하는 한국 교민들이 니콜라스 마두로 정부를 향한 미국의 고강도 압박 속에 안전망을 강화하며 사태 추이를 예의주시하고 있다.베네수엘라에서 10여년째 사업체를 …
[2025-11-24]
트럼프 행정부가 멕시코, 캐나다와의 자유무역협정을 연장하지 않거나 개정할 가능성이 제기되면서 이 협정을 활용해 미국에 무관세로 수출해온 한국 기업들도 긴장하고 있다.한국 기업들은…
[2025-11-24]
도널드 트럼프 대통령과 시진핑 중국 국가주석이 10월 30일(한국시간) 부산 김해공군기지 의전실 나래마루에서 미중 정상회담을 마친 뒤 회담장을 나서며 악수하고 있다. 2025.1…
[2025-11-24]
미국과 우크라이나가 19개 항으로 된 완전히 새로운 평화안을 작성했으며 정치적으로 민감한 사안은 양국 대통령의 결정으로 미뤄뒀다고 영국 일간 파이낸셜타임스(FT)가 세르히 키슬리…
[2025-11-24]도널드 트럼프대통령과 시진핑 중국 국가주석이 30일(한국시간) 부산 김해공군기지 의전실 나래마루에서 미중 정상회담을 마친 뒤 회담장을 나서며 대화하고 있다. 2025.10.30[…
[2025-11-24]
도널드 트럼프 대통령은 24일 수입업자와 소비자의 ‘과잉 재고’가 소진되면 정부의 관세 수입이 급증하면서 관세의 효과를 체감하게 될 것이라고 강조했다.트럼프 대통령은 이날 소셜미…
[2025-11-24]
![[건강포커스]](http://image.koreatimes.com//article/2025/11/24/20251124170007695.jpg)






















옥세철 논설위원
데이빗 이그나티우스 워싱턴포스트 칼럼니스트
조옥규 수필가
민병권 / 서울경제 논설위원
양상훈 수필가·시인
조지 F·윌 워싱턴포스트 칼럼니스트 
도널드 트럼프 대통령과 조란 맘다니 뉴욕시장 당선자가 21일 백악관에서 회동을 갖고 위대한 뉴욕시 만들기에 힘을 모으기로 했다.선거기간 내내 …

495-벨트웨이 익스프레스 연장 공사가 3년 넘게 이어지면서 운전자들의 불만이 적지 않던 가운데 마침내 공사를 끝내고 23일 개통됐다.타이슨스…

원로 배우 이순재 전 국회의원이 25일(한국시간) 새벽 별세했다고 유족 측이 전했다. 향년 90세.함북 회령에서 태어나 서울고와 서울대 철학과…